يعتقد الطبيب أنك مصاب بحالة مرضية تدعى::
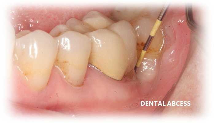
  خراج أو دمل بالأسنان
DENTAL ABSCESS




  عودة إلى السؤال السابق